Hybrid Ceramic-Based Restorative as a Permanent Restoration

Abel Fernandez, CDT, MDT; James Lawson, DDS

December 2018 RN - Expires Thursday, December 31st, 2020

Inside Dental Technology

Abstract

In designing a treatment plan for a patient with severe allergies to nickel and methylisothiazolinone (MIT) in addition to existing bruxism and gingival recession, the choices of material to permanently restore tooth No. 18 are very narrow. However, in this case, Shofu Block HC CAD/CAM Hybrid Ceramic (HC) presents the attributes needed for this fixed prosthetic: high compressive and flexural strengths and the ability to absorb and diffuse occlusal stress with the absence of metal.

You must be signed in to read the rest of this article.

Login Sign Up

Registration on CDEWorld is free. You may also login to CDEWorld with your DentalAegis.com account.

Needing a permanent restoration of tooth No. 18, the patient presented several concerns on the variety of dental materials and their chemical composition due to allergy reactions in addition to severe advanced bruxism. Specifically, they had a severe allergy to nickel and to methylisothiazolinone (MIT), a synthetic biocide and preservative commonly used in industrial manufacturing of dental materials.

After reviewing the options of different restorative materials, the new modality using a hybrid ceramic composed of 61% zirconium silicate-embedded matrix with densely packed nano-filler found in Shofu's Block HC was selected. The Shofu Block HC eliminates the possibilities of allergic reactions while managing the severe advanced bruxism of the patient in this case. The dentist and patient agreed to start the treatment using the Shofu Block HC as a final restoration.

Clinical Procedure

Preparation of tooth No. 18 was performed by the dentist with a 1.5-mm occlusal reduction and a 1-mm axial reduction with a 3° to 5° tapered shoulder margin. Crown build-up was directly restored with Clearfill SE Bond 2, Clearfill DC Activator from Kuraray (kuraraydental.com), and Danville Bulk-EZ shade A2 from Zest Dental Solutions (zestdent.com) (Figure 1). The full-arch mandibular impression and full-arch maxillary opposing impression were taken with 3M Imprint (3M, 3m.com), and the bite registration and intraoral images were provided by the dentist to the laboratory. Custom shading was acquired by the technician before the preparation of the tooth structure to avoid dehydration.

Digital Design & Milling

The mandibular cast model was scanned with emphasis on tooth preparation No. 18 and adjacent tooth No. 19. A bite registration of the opposing was prepared and scanned, providing a view of the antagonist, which was acquired and trimmed digitally. The software proposed the designed restoration with a correct Curve of Spee and Curve of Wilson. The proposed restoration displayed a red area, indicating that the opposing tooth would need to be lightly adjusted intraorally by the dentist during the cementation of the crown (Figure 2).

The restoration was accepted and milled under wet conditions on a Sirona inLab MC XL (Dentsply Sirona, dentsplysirona.com) using the Shofu Block HC for CEREC, shade A2-2L. Milling Shofu Block/Disk HC manifests better machinability in terms of time, damage tolerance, wear of milling diamond burs, and the ability to be fabricated at a low thickness, which in this case was necessary for the occlusal area.

With a compressive strength of 472 MPa, a high flexural strength of 191 MPa, Vickers hardness of 66 Hv0.2, and no nickel or MIT, Shofu Block HC was an excellent candidate to restore tooth No. 18. Additionally, the hardness of the material demonstrated values closer to dentin, preventing excessive antagonist wear, which was a concern due to severe bruxism. The material's toothlike physical and mechanical properties, and its ability to absorb and diffuse stress, would provide a source of stabilization without a mouth guard, which would be commonly prescribed for zirconia, lithium silicate, or lithium disilicate.

Adjusting the Unit

From grinding off the sprue to adjusting, contouring, finishing, and polishing the milled unit, abrasives from the all-inclusive BurButler CADMaster Abrasive Kit (Shofu Dental Corporation) were utilized. The kit incorporates 25 abrasives indicated for all CAD/CAM materials. The selection of abrasives in this kit are Dura-Green Stones, Dura-White Stones, Dura-Green DIA Stones, CeraMaster & CeraMaster Coarse, and ZiLMaster. It contains three types of shanks (CA, FG, and HP) and three grits (coarse, medium, and fine) with a variety of head shapes, sizes, and working lengths.

To grind off the sprue, Dura-Green Stone IC9 HP was preferred. No grinding of the intaglio was required as the milled HC crown came out clean of debris, and the seating of the crown to the die stone model presented an advanced adaptation. The mesial contact was slightly adjusted and minor contouring of the overall surface was achieved with Dura-Green Stone WH6 HP. To minimally adjust the occlusion, a Dura-Green Stone FL2 HP was used. Fine small diamonds were used to accentuate the occlusal morphology.

Naturalization

To provide mechanical retention, the unit was lightly sandblasted with 50-μm aluminum oxide at 2 bar pressure, rinsed with alcohol, and air-hose cleaned without the presence of oil or water. Ceraresin Bond 1 and 2 (Shofu Dental Corporation) according to manufacturer instructions were applied over the entire surface to acquire chemical bond of the internal stains to the HC restoration. The internal characterization proceeded to enhance the different nuances of the crown according to the custom shade. In this case, Lite Art Stains (Shofu Dental Corporation) were introduced to the milled restoration. These modifiers are compatible with indirect composites, PMMA, resin-based materials for CAD/CAM, and hybrid ceramics. The high viscosity allows precise application over the different areas of the crown, making the stains manageable to apply (Figure 3).

To overlay and protect the internal stains, Ceramage UP T-Glass (Shofu Dental Corporation) was used to cover the buccal, lingual, and interproximal areas. On the occlusal area, Ceramage UP OC (Shofu Dental Corporation) was used on the triangular ridges and cusp tips. Next, 56 enamel was utilized on the buccal incisal one-third to enhance the translucency of the two-layer crown and to protect the naturalization on the secondary anatomy and fossa. The Solidilite V light-curing unit was used for 3 minutes to polymerize the crown.

Finishing, Polishing & Cementation

The CompoMaster polisher (Shofu Dental Corporation) simple two-step system produced a smooth finish. Dura-Polish (Shofu Dental Corporation) impregnated with aluminum oxide was used with a Robinson's #11 soft bristle brush to polish the crown. Dura-Polish DIA impregnated with diamond particles was used with a felt wheel to super polish the crown to a high luster. The intaglio of the crown was treated with 50-μm aluminum oxide sandblasting, ultrasonic (water bath), ethanol cleaning, and Shofu HC Primer. Cementation was achieved by etching the tooth structure, applying Clearfil SE Bond 2 and Clearfil DC Activator (Kuraray), and using MonoCem (Shofu Dental Corporation) as a permanent cement. Adjustment and polishing were done quickly and easily (Figure 4).

Conclusion

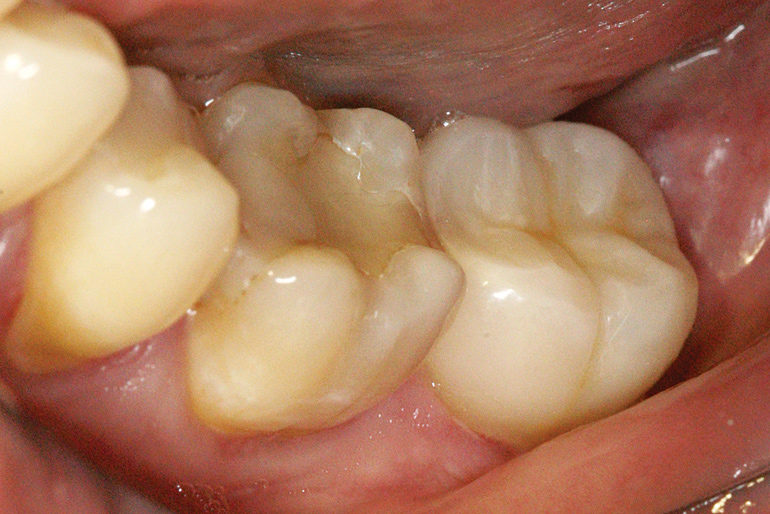
Shofu's Block HC was an effective option for this patient. All the materials supported the procedure to restore a permanent single crown that successfully met patient expectations. Tooth No. 18 is fully functional with an outstanding esthetic result (Figure 5). Shofu's novel hybrid ceramic is an alternative to restore crowns on any patient, especially for those with severe tooth erosion and minimal tooth structure. It can provide a canvas for artistry and beauty in rehabilitating the tooth to its original function.

About the Authors

Abel Fernandez, CDT, MDT
Owner
Master's Touch Dental Laboratory
San Marcos, CA

James Lawson, DDS
Private Practice
Encinitas, CA

Fig 1. Tooth No. 18 crown build-up was directly restored.

Figure 1

Fig 2. The opposing tooth would need to be adjusted intraorally by the dentist during the cementation of the crown.

Figure 2

Fig 3. The high viscosity of Lite Art Stains allows precise application over the different areas of the crown thus making the stains manageable to apply.

Figure 3

Fig 4. The adjustment and polishing of the Shofu Block HC was easy and quick.

Figure 4

Fig 5. Tooth No. 18 is fully functional with an outstanding esthetic result.

Figure 5

CREDITS: 0
AGD CODE: 250 - Operative (Restorative) Dentistry
COST: $0
PROVIDER: Conexiant Education
SOURCE: Inside Dental Technology | December 2018

Learning Objectives:

  • Analyze and evaluate the patient’s allergies, existing bruxism, and gum recession
  • Determine the type of restorative material based on patient’s consultation to permanently rehabilitate tooth No. 18
  • Fabricate final restoration with Shofu Block HC CAD/CAM Hybrid Ceramic
  • Restore function and esthetics of tooth No. 18

Disclosures:

The author reports no conflicts of interest associated with this work.

Queries for the author may be directed to justin.romano@broadcastmed.com.